帝京大学
岐阜大学
静岡県立大学
岐阜大学
静岡県立大学
指定難病「副腎白質ジストロフィー」診断の鍵となるマーカー分子の産生酵素を発見
ポイント
- 副腎白質ジストロフィーの診断マーカー(C26:0-リゾホスファチジルコリン)の産生に関与する酵素を同定しました。
- 同定した酵素が働く仕組みを、分子動力学シミュレーションを用いて、原子・分子レベルで明らかにしました。
- 診断マーカー分子の産生機序が解明されることで、副腎白質ジストロフィーのより正確な診断や、病態の発症機序の解明に貢献することが期待されます。
概要
映画『ロレンツォのオイル/命の詩』のテーマとなった病気としても知られる、副腎白質ジストロフィー※1(日本の指定難病20)※2は、生まれつきの遺伝子の異常によって起こります。この病気の患者では、脳に炎症が起きて神経の働きが障害されたり、副腎※3と呼ばれる臓器の機能が低下したりします。現在、有効な治療法として知られているのは造血幹細胞移植※4です。しかし、この方法を用いても一度失われた脳の機能を元どおりに回復させることは難しく、脳の機能が失われてしまう前に、できるだけ早い段階で治療を始めることが非常に重要です。このため、病気を早期に見つける目的で、生まれたばかりの赤ちゃんを対象とした検査(新生児スクリーニング※5)が、アメリカやヨーロッパを中心に、近年では日本でも行われています。この検査では、「C26:0-リゾホスファチジルコリン」という物質が診断の目印(診断マーカー)として使われています。しかし、なぜ副腎白質ジストロフィーの患者さんでは、この物質が体の中で増えるのかについては、これまで詳しく分かっていませんでした。
今回、帝京大学薬学部 物理薬剤学研究室 濱弘太郎 准教授(帝京大学先端総合研究機構)、藤原優子 講師、横山和明 教授、薬物治療学研究室 日下部吉男 講師、岐阜大学科学研究基盤センター ゲノム研究分野 下澤伸行 特任教授、糖鎖生命コア研究所 高島茂雄 准教授、静岡県立大薬学部 医薬品製造科学講座 滝田良 教授、 今井瑚子 大学院生、 近藤健 助教らの研究グループは、副腎白質ジストロフィーの診断マーカーとして使われている物質「C26:0-リゾホスファチジルコリン」が、細胞の中でどのように作られるのかを調べました。その結果、この物質のもとになる「C26:0-ホスファチジルコリン」という物質に注目することで、産生に重要な役割を果たす酵素を見つけることに成功しました。
本成果により、病気の進行をより正確に予測できるなど、診断の精度向上につながることが期待されます。また、診断マーカーであるC26:0-リゾホスファチジルコリンそのものが、病気の発症や進行にどのように関わっているのかについても、今後の研究が進むと期待されます。
今回、帝京大学薬学部 物理薬剤学研究室 濱弘太郎 准教授(帝京大学先端総合研究機構)、藤原優子 講師、横山和明 教授、薬物治療学研究室 日下部吉男 講師、岐阜大学科学研究基盤センター ゲノム研究分野 下澤伸行 特任教授、糖鎖生命コア研究所 高島茂雄 准教授、静岡県立大薬学部 医薬品製造科学講座 滝田良 教授、 今井瑚子 大学院生、 近藤健 助教らの研究グループは、副腎白質ジストロフィーの診断マーカーとして使われている物質「C26:0-リゾホスファチジルコリン」が、細胞の中でどのように作られるのかを調べました。その結果、この物質のもとになる「C26:0-ホスファチジルコリン」という物質に注目することで、産生に重要な役割を果たす酵素を見つけることに成功しました。
本成果により、病気の進行をより正確に予測できるなど、診断の精度向上につながることが期待されます。また、診断マーカーであるC26:0-リゾホスファチジルコリンそのものが、病気の発症や進行にどのように関わっているのかについても、今後の研究が進むと期待されます。
研究の背景
生体には、様々な種類の脂肪酸が存在します。中でも、炭素がとても長くつながった脂肪酸は極長鎖脂肪酸とよばれます(図1)。

図1 生体中の脂肪酸(有機酸)
脂肪酸は炭素-炭素結合が連なって構成されており、脂質を構成する基本成分の一つです。体内でエネルギー源として利用されるほか、細胞膜の材料や生理活性物質のもととして重要な役割を担っています。 連なっている炭素の数に応じて、短鎖脂肪酸、中鎖脂肪酸、長鎖脂肪酸、そして、極長鎖脂肪酸に分類されます。本研究で対象とした極長鎖脂肪酸は、炭素が26個連なっています。
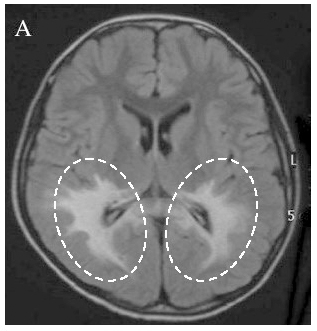
極長鎖脂肪酸は一部の細胞で利用される一方、大部分の細胞では、極長鎖脂肪酸を運ぶ特殊な輸送タンパク質の働きによって分解されます。我が国の難病に指定される副腎白質ジストロフィー(指定難病20)は、この輸送タンパク質の機能が遺伝的に不全であるために生じます。副腎白質ジストロフィーは、脳の中の炎症反応を伴う進行性の脱髄症状※6(図2)や、副腎機能の不全を特徴とする疾患です。

図2 副腎白質ジストロフィー患者のMRI画像
副腎白質ジストロフィー患者(大脳型)の脳では、脱髄領域(図の点線領域)が認められる。(岐阜大学ALD&ペルオキシソーム病ホームページより許可を得て転載)
現時点で副腎白質ジストロフィーに対する有効な治療薬は存在せず、造血幹細胞移植によって病気の進行を抑えることが唯一の治療法です。しかし、損なわれた脳機能の回復は難しいため、早期発見・早期治療が、治療するうえでとても重要です。このため、アメリカ、ヨーロッパ、そして最近は日本においても、生まれたばかりの赤ちゃんを対象とした検査(新生児スクリーニング)が行われており、その診断の基準となる物質として、C26:0-リゾホスファチジルコリン(図3)が用いられています。このスクリーニングと、極長鎖脂肪酸の輸送タンパク質に関する遺伝子検査により、未発症段階あるいは発症初期の診断が可能となっています。しかし一方で、輸送タンパク質に関する遺伝子異常と、副腎白質ジストロフィーの病態の程度が、必ずしも一致しないケースが見られるため、倫理上の問題点※7が指摘されています。この問題を解決するためには、診断基準物質であるC26:0-リゾホスファチジルコリンが、副腎白質ジストロフィー患者の体内でどのように産生されるのかという仕組みを理解することが重要です。しかし、その生成メカニズムはこれまで明らかにされていませんでした。
研究の内容
本研究グループは、C26:0-リゾホスファチジルコリンのもと(前駆体)となる物質に着目しました。生体には、脂肪酸を別の脂質の一部として導入させる酵素(リゾリン脂質アシル基転移酵素)(図3)が存在します。この酵素が極長鎖脂肪酸であるC26:0脂肪酸を認識して、C26:0-ホスファチジルコリンを生成し、これが前駆体となってC26:0-リゾホスファチジルコリンが生成されるという作業仮説を立てました。ゲノム編集技術※8によってリゾリン脂質アシル基転移酵素LPLAT10の機能を欠損させた副腎白質ジストロフィー患者由来の細胞では、C26:0-ホスファチジルコリンとともに、C26:0-リゾホスファチジルコリンも減少することが確認されました。この結果から、C26:0-リゾホスファチジルコリン量は、その前駆体の量によって決められるという可能性が提示されました。

図3 C26:0-リゾホスファチジルコリンの産生過程
リゾリン脂質アシル基転移酵素(LPLAT10)によって、C26:0-ホスファチジルコリンが産生されることが示されました。このC26:0-ホスファチジルコリンに対して、ホスホリパーゼなどの酵素が更に作用することで、診断マーカー物質であるC26:0-リゾホスファチジルコリンが産生されると考えられます。
次に、LPLAT10によってC26:0-ホスファチジルコリンが作られる仕組みを詳細に理解するために、ウェブ上に公開されたタンパクの立体構造を元に、分子動力学シミュレーション※9を行いました。その結果、LPLAT10内に、C26:0-ホスファチジルコリンの一部を固定する構造が見出されました。さらに、本研究グループが独自に開発した手法を用いて合成した重水素標識脂肪酸※10を用いた解析により、過剰なC26:0脂肪酸の細胞内代謝を示すことに成功しました。
研究の成果の意義
本研究により、副腎白質ジストロフィーの診断マーカーとなる物質の前駆体がどのように産生されるのかという分子機構が明らかになりました。これは、診断マーカーの産生過程全体の解明に向けた大きな前進です。本成果を基盤として、将来的には病気の進行をより正確に予測できる診断法の開発など、診断精度の向上につながることが期待されます。
一方で、副腎白質ジストロフィー患者では極長鎖脂肪酸が体内に蓄積することが知られていますが、それらがどのような仕組みで病態を引き起こすのかについては、いまだ十分に解明されていません。本研究では、極長鎖脂肪酸を特異的に認識する酵素を同定し、その代謝の一端を明らかにしました。これにより、今後、極長鎖脂肪酸が示す毒性や病態形成メカニズムの理解がさらに進むことが期待されます。
一方で、副腎白質ジストロフィー患者では極長鎖脂肪酸が体内に蓄積することが知られていますが、それらがどのような仕組みで病態を引き起こすのかについては、いまだ十分に解明されていません。本研究では、極長鎖脂肪酸を特異的に認識する酵素を同定し、その代謝の一端を明らかにしました。これにより、今後、極長鎖脂肪酸が示す毒性や病態形成メカニズムの理解がさらに進むことが期待されます。
特記事項
本研究は、日本学術振興会(JSPS)[科学研究補助金 基盤研究(B)(23K28030 : 研究代表 濱弘太郎, 24K02151 : 研究代表 滝田良)、基盤研究(C)(19K11777, 15K01691:研究代表 濱弘太郎)]、日本私立学校振興・共済事業団 [学術研究振興資金・研究助成:研究代表 濱弘太郎]、内藤記念科学振興財団 [内藤記念科学奨励金・研究助成:研究代表 濱弘太郎]、持田記念医学薬学振興財団 [研究助成金:研究代表 濱弘太郎]、日本先天代謝異常学会 [サノフィLSDグラント:研究代表 濱弘太郎]、帝京大学先端総合研究機構 [チーム研究助成金:研究代表 濱弘太郎]などの支援を受けて実施しました。
本研究成果は2025年12月30日(火)14時(日本時間)に「ジャーナルオブリピッドリサーチ」に掲載されました。
タイトル:
Phosphatidylcholine with C26:0-moiety, a precursor of a diagnostic marker for X-ALD, is synthesized by LPLAT10/LPEAT2
著者:
Kotaro Hama*, Yuko Fujiwara, Koko Imai, Yoshio Kusakabe, Yasuhiro Hayashi, Shigeo Takashima, Shohei Azuma, Masaru Kondo, Atsushi Yamashita, Ryo Takita, Nobuyuki Shimozawa, and Kazuaki Yokoyama (* Corresponding author)
DOI:
doi.org/10.1016/j.jlr.2025.100973
URL:
https://doi.org/10.1016/j.jlr.2025.100973
本研究成果は2025年12月30日(火)14時(日本時間)に「ジャーナルオブリピッドリサーチ」に掲載されました。
タイトル:
Phosphatidylcholine with C26:0-moiety, a precursor of a diagnostic marker for X-ALD, is synthesized by LPLAT10/LPEAT2
著者:
Kotaro Hama*, Yuko Fujiwara, Koko Imai, Yoshio Kusakabe, Yasuhiro Hayashi, Shigeo Takashima, Shohei Azuma, Masaru Kondo, Atsushi Yamashita, Ryo Takita, Nobuyuki Shimozawa, and Kazuaki Yokoyama (* Corresponding author)
DOI:
doi.org/10.1016/j.jlr.2025.100973
URL:
https://doi.org/10.1016/j.jlr.2025.100973
用語説明
※1 副腎白質ジストロフィー
遺伝子の異常によって極長鎖脂肪酸が体内に蓄積する先天性の代謝性疾患です。主に脳の白質に炎症や脱髄を引き起こし、神経症状が進行するほか、副腎の機能低下によるホルモン異常を伴うことがあります。重症化すると生命に関わるため、新生児期からの早期診断と適切な治療介入が重要とされています。
※2 指定難病
患者数が少なく、原因の解明や治療法の確立が十分に進んでいない難治性の疾患のうち、国が定めた基準にもとづき厚生労働大臣が指定した病気です。指定難病に認定されると、患者の医療費負担を軽減するための公的支援を受けることができます。
※3 副腎
腎臓の上にある小さな臓器で、体内のストレス応答や代謝、血圧の調節などに関わるホルモンを分泌しています。生命維持に欠かせない重要な役割を担っています。
※4 造血幹細胞移植
血液や免疫細胞のもととなる造血幹細胞を体内に移植し、正常な血液や免疫の働きを回復させる治療法です。副腎白質ジストロフィーなどでは、病気の進行を抑える目的で行われます。
※5 新生児スクリーニング
生まれて間もない赤ちゃんの血液を用いて、先天性の代謝異常などの病気を早期に発見する検査です。発症前に診断し、早期に治療や経過観察を行うことで、重篤な症状の発現を防ぐことを目的としています。副腎白質ジストロフィーに関する新生児スクリーニングはアメリカで開始されました。日本においても昨年までに全国21県で行われています。
※6 脱髄
神経線維を覆って情報伝達を助ける「髄鞘(ずいしょう)」が壊れたり失われたりする状態を指します。これにより神経の信号伝達が障害され、運動や感覚、認知機能などにさまざまな症状が現れます。
※7 倫理上の問題点
副腎白質ジストロフィーの新生児スクリーニングでは、発症時期や重症度を正確に予測できない場合があり、将来症状が出ない可能性のある乳児も診断されることがあります。また、遺伝子検査によって意義が不明な変異が見つかることや、想定外の別疾患が判明する場合もあり、家族に心理的負担を与える可能性が指摘されています。そのため、適切な情報提供や遺伝カウンセリング体制の整備が重要とされています。
※8 ゲノム編集技術
生物がもつ遺伝情報(DNA)の特定の配列を狙って改変する技術です。遺伝子の働きを詳しく調べたり、病気の原因解明や新しい治療法の研究に活用されています。本研究では、クリスパー・キャス法というゲノム編集法が用いられました。
※9 分子動力学シミュレーション
原子や分子の動きをコンピュータ上で計算し、時間とともにどのように振る舞うかを再現する手法です。分子同士の相互作用や構造変化を理解するために、生命科学や材料科学の研究で広く用いられています。
※10 重水素標識脂肪酸
重水素標識脂肪酸とは、脂肪酸の一部の水素を、安定同位体である重水素に置き換えたものです。体内や細胞内での脂肪酸の動きや代謝経路を追跡するための研究用試薬として用いられます。本研究グループはこれまでに、様々な脂肪酸について重水素標識脂肪酸を合成する方法を確立しており(Watanabe A, Hama K and Takita R et al., Angew Chem Int Ed, 2022)、この方法を応用して、C26:0の極長鎖脂肪酸の重水素標識体を得ることに成功しました。
遺伝子の異常によって極長鎖脂肪酸が体内に蓄積する先天性の代謝性疾患です。主に脳の白質に炎症や脱髄を引き起こし、神経症状が進行するほか、副腎の機能低下によるホルモン異常を伴うことがあります。重症化すると生命に関わるため、新生児期からの早期診断と適切な治療介入が重要とされています。
※2 指定難病
患者数が少なく、原因の解明や治療法の確立が十分に進んでいない難治性の疾患のうち、国が定めた基準にもとづき厚生労働大臣が指定した病気です。指定難病に認定されると、患者の医療費負担を軽減するための公的支援を受けることができます。
※3 副腎
腎臓の上にある小さな臓器で、体内のストレス応答や代謝、血圧の調節などに関わるホルモンを分泌しています。生命維持に欠かせない重要な役割を担っています。
※4 造血幹細胞移植
血液や免疫細胞のもととなる造血幹細胞を体内に移植し、正常な血液や免疫の働きを回復させる治療法です。副腎白質ジストロフィーなどでは、病気の進行を抑える目的で行われます。
※5 新生児スクリーニング
生まれて間もない赤ちゃんの血液を用いて、先天性の代謝異常などの病気を早期に発見する検査です。発症前に診断し、早期に治療や経過観察を行うことで、重篤な症状の発現を防ぐことを目的としています。副腎白質ジストロフィーに関する新生児スクリーニングはアメリカで開始されました。日本においても昨年までに全国21県で行われています。
※6 脱髄
神経線維を覆って情報伝達を助ける「髄鞘(ずいしょう)」が壊れたり失われたりする状態を指します。これにより神経の信号伝達が障害され、運動や感覚、認知機能などにさまざまな症状が現れます。
※7 倫理上の問題点
副腎白質ジストロフィーの新生児スクリーニングでは、発症時期や重症度を正確に予測できない場合があり、将来症状が出ない可能性のある乳児も診断されることがあります。また、遺伝子検査によって意義が不明な変異が見つかることや、想定外の別疾患が判明する場合もあり、家族に心理的負担を与える可能性が指摘されています。そのため、適切な情報提供や遺伝カウンセリング体制の整備が重要とされています。
※8 ゲノム編集技術
生物がもつ遺伝情報(DNA)の特定の配列を狙って改変する技術です。遺伝子の働きを詳しく調べたり、病気の原因解明や新しい治療法の研究に活用されています。本研究では、クリスパー・キャス法というゲノム編集法が用いられました。
※9 分子動力学シミュレーション
原子や分子の動きをコンピュータ上で計算し、時間とともにどのように振る舞うかを再現する手法です。分子同士の相互作用や構造変化を理解するために、生命科学や材料科学の研究で広く用いられています。
※10 重水素標識脂肪酸
重水素標識脂肪酸とは、脂肪酸の一部の水素を、安定同位体である重水素に置き換えたものです。体内や細胞内での脂肪酸の動きや代謝経路を追跡するための研究用試薬として用いられます。本研究グループはこれまでに、様々な脂肪酸について重水素標識脂肪酸を合成する方法を確立しており(Watanabe A, Hama K and Takita R et al., Angew Chem Int Ed, 2022)、この方法を応用して、C26:0の極長鎖脂肪酸の重水素標識体を得ることに成功しました。
(2026年2月4日)




